911 Reserve Dr Ste 150, Roseville, CA
Certified Maxillofacial Surgeon
Alexander Antipov
For clients from other states, we cover hotel expenses
Dentists from all over the world come to us for implantology training
Modern implant technology
Calculate the cost of implantation in your case and get a treatment plan in 1 hour with a 10% discount and a CT scan as a gift!
Free pre-operative examination at our expense
No pain, discomfort and recovery in just 1 day
Your new smile in just one day in Roseville, CA
2
3
1
You come to the clinic in the morning and leave in the evening with a new smile!
Prosthesis fabrication

While we fabricate your prostheses, you can fully relax. Thanks to modern equipment, it takes no more than 2 hours
Prosthesis placement

We fit and secure implant-supported dentures. You leave us with a beautiful smile and teeth. In the evening, you will be able to chew on an apple!
Implant placement and impression taking

In the morning, you arrive at the clinic. Your compromised teeth are extracted, and implants are placed
  • Implant Consultation
  • Cone-Beam CT-Scan
  • Teeth Extractions / If Needed
  • 2-4 Zygomatic Implants
  • Placement / Per Arch
  • 2-4 Traditional Implants
  • Placement / Per Arch
  • Temporary Teeth
  • Final Teeth In 4-6 Months
  • Implant Consultation
  • Cone-Beam CT-Scan
  • Teeth Extractions / If Needed
  • 4-5 Implants Placement / Per Arch
  • 3-D Printed Same Day Temporary Teeth
  • Digital Smile Design
  • Zirconia Finals in 4-6 Months
Snap-On Deatachable Dentures
All implants are certified and are the best in their class
Thimble Bar Deatachable Dentures
Zygomatic Dental Implants
Permanent 
Zirconia Teeth
  • Implant Consultation
  • Cone-Beam CT-Scan
  • Teeth Extractions / If Needed
  • 4-5 Implants Placement / Per Arch
  • 3-D Printed Same Day
  • Temporary Teeth
  • Digital Smile Design
  • Final Teeth in 4-6 Months
The Treatment Fee Consists of:
By Appt.
Exclusive
Per Arch
The Treatment Fee Consists of:
By Appt.
Appt. Needed
Per Arch
The Treatment Fee Consists of:
$18,555
Starts At
Per Arch / Double arch $36,000

  • Implant Consultation
  • Cone-Beam CT-Scan
  • Teeth Extractions / If Needed
  • 4 Implants Placement / Per Arch
  • Temporary Teeth
The Treatment Fee Consists of:
$12,999
Starts At
Per Arch / Double Arch $25,000
  • Implant Consultation
  • Cone-Beam CT-Scan
  • Teeth Extractions / If Needed
  • 2 Implants Placement / Per Arch
  • Temporary Teeth
  • Final Denture / In 4-6 Months
The Treatment Fee Consists of:
$7,899
Starts At
Per Arch
All-on-4 Dental Implants
Зоны детектирования:
The Treatment Fee Consists of:
$1,849
Starts At
Per Implant and Crown
Single Implant and Zirconia Crown
We will select implants for any clinical situation and budget
  • Implant Consultation
  • Cone-Beam CT-Scan
  • Teeth Extractions / If Needed
  • 4-5 Implants Placement / Per Arch
  • 3-D Printed Same Day Temporary Teeth
  • Digital Smile Design
  • Zirconia Finals in 4-6 Months
  • Implant Consultation
  • Cone-Beam 
  • CT-Scan
  • Implant Placement
  • Abutment
  • Zirconia Crown
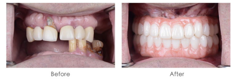
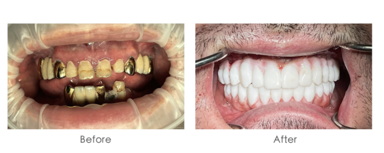
Take a look at the new smiles of our customers!
Want the same results? Sign up for a free consultation and receive a treatment plan in just 1 hour. Complimentary CT scan included!
The prostheses are non-removable and fit snugly — they don’t loosen or cause irritation
After restoring all teeth with implants, clients look at least 5 years younger
All-on-4
Full Arch Dental Implants
Full Arch Dental Implants
All-on-4
I came here today because I've been struggling with my teeth and my smile. I've been having no confidence and it's been pretty tough living like this 
It's been a blessing. I feel good, I got my teeth. I love my teeth, there are great
Having a surgeon like Dr. Antipov — it was a piece of cake!
Wasn't painful. Very comfortable. I felt really comfortable, everybody is really friendly in there. So I was really happy coming here!
Our Clients' Reviews
More video reviews of our clients
He graduated from the Loma Linda University School of Dentistry and completed his residency in surgery and anesthesia at Montefiore Medical Center/Albert Einstein College of Medicine
He founded Fusion Dental Academy, trained over 500 students, and improved the quality of care for 1,000+ patients
Dr. Antipov is often chosen for complex dental cases in California because his colleagues recognize his expertise and trust him
The clinic’s lead doctor is Dr. Alexander Antipov
Our certificates and diplomas

We use the modern "All-on-4" prosthetic method
Installation in one day with minimal surgical intervention
Thanks to a special implant insertion technology, the prosthesis fits snugly and does not become loose over time


No expensive bone grafting or sinus lifting procedures are required


Patients do not require long rehabilitation: the seamless incisions heal within 3-5 days


Our clinic's proprietary method for beam installation


Answer 3 questions and get a personalized treatment plan with a cost estimate in just 2 minutes, plus a 10% discount.
Complimentary CT scan included!
Calculate the cost of implantation in your case
Let's determine your clinical situation
Tell us about your situation
How long have your teeth been missing?
When do you plan to have the implants installed?
Fill out the form, and we will contact you shortly
Отправка формы
Подтвердите, что вы не робот
или нажмите Enter

Determine contraindications and health conditions


Will perform computer modeling


Will calculate the cost and provide a step-by-step treatment plan

Sign up for a free consultation with the clinic's leading doctor
Создано на